Nephrotic syndrome

Not to be confused with Nephritic syndrome.
Nephrotic syndrome
Histopathological image of diabetic glomerulosclerosis the main cause of nephrotic syndrome in adults. H&E stain.
Classification and external resources
Specialty Nephrology
ICD-10 N04
ICD-9-CM 581
DiseasesDB 8905
MedlinePlus 000490
eMedicine med/1612 ped/1564
MeSH D009404

Nephrotic syndrome is a syndrome comprising signs of nephrosis, chiefly proteinuria, hypoalbuminemia, and edema.[1][2] It is a component of glomerulonephrosis, in which different degrees of proteinuria occur.[1] Essentially, loss of protein through the kidneys (proteinuria) leads to low protein levels in the blood (hypoproteinemia including hypoalbuminemia), which causes water to be drawn into soft tissues (edema). Severe hypoalbuminemia can also cause a variety of secondary problems, such as water in the abdominal cavity (ascites), around the heart or lung (pericardial effusion, pleural effusion), high cholesterol (hence hyperlipidemia), loss of molecules regulating coagulation (hence increased risk of thrombosis).

Large proteinuria is due to an increase in permeability of the filtering membrane of the kidney which normally separates the blood from the urinary space in Bowman's capsule. This is composed of the capillary walls of the glomerulus which are wrapped by highly specialized cells called podocytes. Alterations in their capacity to filter the substances transported in the blood mean that proteins but not cells pass into the urine (hence no haematuria). By contrast, in nephritic syndrome red blood cells pass through the pores, causing haematuria.

Signs and symptoms

Nephrotic syndrome is usually accompanied by retention of water and sodium. The degree to which this occurs can vary between slight edema in the eyelids that decreases during the day, to affecting the lower limbs, to generalized swelling, to full blown anasarca.[3]

Nephrotic syndrome is characterized by large proteinuria (>3.5 g per 1.73 m2 body surface area per day,[4] or > 40 mg per square meter body surface area per hour in children), hypoalbuminemia (< 2,5 g/dl), hyperlipidaemia, and edema (which is generalized and also known as anasarca or dropsy) that begins in the face. Lipiduria (lipids in urine) can also occur, but is not essential for the diagnosis of nephrotic syndrome. Hyponatremia also occurs with a low fractional sodium excretion.

Hyperlipidaemia is caused by two factors:

A few other characteristics seen in nephrotic syndrome are:

The main signs of nephrotic syndrome are:[7]

Pathophysiology

Drawing of the renal glomerulus.

The renal glomerulus filters the blood that arrives at the kidney. It is formed of capillaries with small pores that allow small molecules to pass through that have a molecular weight of less than 40,000 Daltons,[13] but not larger macromolecules such as proteins.

In nephrotic syndrome, the glomeruli are affected by an inflammation or a hyalinization (the formation of a homogenous crystalline material within cells) that allows proteins such as albumin, antithrombin or the immunoglobulins to pass through the cell membrane and appear in urine.[14]

Albumin is the main protein in the blood that is able to maintain an oncotic pressure, which prevents the leakage of fluid into the extracellular medium and the subsequent formation of edemas.

As a response to hypoproteinemia the liver commences a compensatory mechanism involving the synthesis of proteins, such as alpha-2 macroglobulin and lipoproteins.[14] An increase in the latter can cause the hyperlipidemia associated with this syndrome.

Causes

Histological image of a normal kidney glomerulus. It is possible to see a glomerulus in the centre of the image surrounded by renal tubules.

Nephrotic syndrome has many causes and may either be the result of a glomerular disease that can be either limited to the kidney, called primary nephrotic syndrome (primary glomerulonephrosis), or a condition that affects the kidney and other parts of the body, called secondary nephrotic syndrome.

Primary glomerulonephrosis

Primary causes of nephrotic syndrome are usually described by their histology:[15]

They are considered to be "diagnoses of exclusion", i.e. they are diagnosed only after secondary causes have been excluded.

Secondary glomerulonephrosis

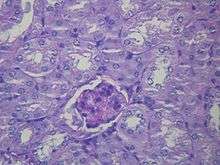
Diabetic glomerulonephritis in a patient with nephrotic syndrome.

Secondary causes of nephrotic syndrome have the same histologic patterns as the primary causes, though they may exhibit some difference suggesting a secondary cause, such as inclusion bodies.[18] They are usually described by the underlying cause.

By histologic pattern

Membranous nephropathy (MN)

Focal segmental glomerulosclerosis (FSGS)[20]

Minimal change disease (MCD)[20]

Membranoproliferative Glomerulonephritis

Diagnosis

Urinalysis will be able to detect high levels of proteins and occasionally microscopic haematuria.

Along with obtaining a complete medical history, a series of biochemical tests are required in order to arrive at an accurate diagnosis that verifies the presence of the illness. In addition, imaging of the kidneys (for structure and presence of two kidneys) is sometimes carried out, and/or a biopsy of the kidneys. The first test will be a urinalysis to test for high levels of proteins,[22] as a healthy subject excretes an insignificant amount of protein in their urine. The test will involve a 24-hour bedside urinary total protein estimation. The urine sample is tested for proteinuria (>3.5 g per 1.73 m2 per 24 hours). It is also examined for urinary casts, which are more a feature of active nephritis. Next a blood screen, comprehensive metabolic panel (CMP) will look for hypoalbuminemia: albumin levels of ≤2.5 g/dL (normal=3.5-5 g/dL). Then a Creatinine Clearance CCr test will evaluate renal function particularly the glomerular filtration capacity.[23] Creatinine formation is a result of the breakdown of muscular tissue, it is transported in the blood and eliminated in urine. Measuring the concentration of organic compounds in both liquids evaluates the capacity of the glomeruli to filter blood. Electrolytes and urea levels may also be analysed at the same time as creatinine (EUC test) in order to evaluate renal function. A lipid profile will also be carried out as high levels of cholesterol (hypercholesterolemia), specifically elevated LDL, usually with concomitantly elevated VLDL, is indicative of nephrotic syndrome.

A kidney biopsy may also be used as a more specific and invasive test method. A study of a sample’s anatomical pathology may then allow the identification of the type of glomerulonephritis involved.[22] However, this procedure is usually reserved for adults as the majority of children suffer from minimum change disease that has a remission rate of 95% with corticosteroids.[24] A biopsy is usually only indicated for children that are corticosteroid resistant as the majority suffer from focal and segmental glomeruloesclerosis.[24]

Further investigations are indicated if the cause is not clear including analysis of auto-immune markers (ANA, ASOT, C3, cryoglobulins, serum electrophoresis), or ultrasound of the whole abdomen.

Classification

A broad classification of nephrotic syndrome based on underlying cause:

 
 
 
Nephrotic
syndrome
 
 
 
 
 
 
 
 
 
 
 
 
 
 
 
 
 
 
 
 
 
 
 
Primary
 
 
 
Secondary

Nephrotic syndrome is often classified histologically:

 
 
 
 
 
 
 
 
 
 
 
 
Nephrotic syndrome
 
 
 
 
 
 
 
 
 
 
 
 
 
 
 
 
 
 
 
 
 
 
 
 
 
 
 
 
 
 
 
 
 
 
 
 
 
 
 
 
 
 
 
 
 
 
 
 
 
 
 
 
 
 
 
 
 
MCD
 
 
 
FSGS
 
 
 
MN
 
 
 
MPGN

Differential diagnosis

Some symptoms that are present in nephrotic syndrome, such as edema and proteinuria, also appear in other illnesses. Therefore, other pathologies need to be excluded in order to arrive at a definitive diagnosis.[25]

Acute fluid overload can cause edema in someone with kidney failure. These people are known to have kidney failure, and have either drunk too much or missed their dialysis. In addition, when Metastatic cancer spreads to the lungs or abdomen it causes effusions and fluid accumulation due to obstruction of lymphatic vessels and veins, as well as serous exudation.

Complications

Nephrotic syndrome can be associated with a series of complications that can affect an individual’s health and quality of life:[14]

Treatment

The treatment of nephrotic syndrome can be symptomatic or can directly address the injuries caused to the kidney.

Symptomatic

The objective of this treatment is to treat the imbalances brought about by the illness:[33] edema, hypoalbuminemia, hyperlipemia, hypercoagulability and infectious complications.

  1. Analyse haemoglobin and haematocrit levels.
  2. A solution of 25% albumin is used that is administered for only 4 hours in order to avoid pulmonary edema.
  3. Haemoglobin and haematocrit levels are analysed again: if the haematocrit value is less than the initial value (a sign of correct expansion) the diuretics are administered for at least 30 minutes. If the haematocrit level is greater than the initial one this is a contraindication for the use of diuretics as they would increase said value.
It may be necessary to give a patient potassium or require a change in dietary habits if the diuretic drug causes hypokalaemia as a side effect.

[42] When the thrombophilia is such that it leads to the formation of blood clots, heparin is given for at least 5 days along with oral anticoagulants (OAC). During this time and if the prothrombin time is within its therapeutic range (between 2 and 3),[43] it may be possible to suspend the LMWH while maintaining the OACs for at least 6 months.[44]

In addition to these key imbalances, vitamin D and calcium are also taken orally in case the alteration of vitamin D causes a severe hypocalcaemia, this treatment has the goal of restoring physiological levels of calcium in the patient.[45]

Kidney damage

The treatment of kidney damage may reverse or delay the progression of the disease.[33] Kidney damage is treated by prescribing drugs:

The susceptibility testing in vitro to glucocorticoids on patient's peripheral blood mononuclear cells is associated with the incidence of not optimal clinical responses: the most sensitive patients in vitro have shown a higher incidence of corticodependence, while the most resistant patients in vitro showed a higher incidence of ineffective therapy.[48]

Epidemiology

Nephrotic syndrome can affect any age, although it is mainly found in adults with a ratio of adults to children of 26 to 1.[49]

The syndrome presents in different ways in the two groups: the most frequent glomerulopathy in children is minimal change disease (66% of cases), followed by focal and segmental glomeruloesclerosis (8%) and mesangiocapillary glomerulonephritis (6%).[18] In adults the most common disease is mesangiocapillary glomerulonephritis (30-40%), followed by focal and segmental glomeruloesclerosis (15-25%) and minimal change disease (20%). The latter usually presents as secondary and not primary as occurs in children. Its main cause is diabetic nephropathy.[18] It usually presents in a patient’s 40s or 50s. Of the glomerulonephritis cases approximately 60% to 80% are primary, while the remainder are secondary.[49]

There are also differences in epidemiology between the sexes, the disease is more common in men than in women by a ratio of 2 to 1.[49]

The epidemiological data also reveals information regarding the most common way that symptoms develop in patients with nephrotic syndrome:[49] spontaneous remission occurs in up to 20% or 30% of cases during the first year of the illness. However, this improvement is not definitive as some 50% to 60% of patients die and / or develop chronic renal failure 6 to 14 years after this remission. On the other hand, between 10% and 20% of patients have continuous episodes of remissions and relapses without dying or jeopardizing their kidney. The main causes of death are cardiovascular, as a result of the chronicity of the syndrome, and thromboembolic accidents.

Prognosis

The prognosis for nephrotic syndrome under treatment is generally good although this depends on the underlying cause, the age of the patient and their response to treatment. It is usually good in children, because minimal change disease responds very well to steroids and does not cause chronic renal failure. Any relapses that occur become less frequent over time;[50] the opposite occurs with mesangiocapillary glomerulonephritis, in which the kidney fails within three years of the disease developing, making dialysis necessary and subsequent kidney transplant.[50] In addition children under the age of 5 generally have a poorer prognosis than prepubescents, as do adults older than 30 years of age as they have a greater risk of kidney failure.[51]

Other causes such as focal segmental glomerulosclerosis frequently lead to end stage renal disease. Factors associated with a poorer prognosis in these cases include level of proteinuria, blood pressure control and kidney function (GFR).

Without treatment nephrotic syndrome has a very bad prognosis especially rapidly progressing glomerulonephritis, which leads to acute kidney failure after a few months.

Notable sufferers

Jonah Lomu was diagnosed with nephrotic syndrome in 1995. The legendary All Blacks rugby union player managed to continue to play throughout his illness, though he occasionally took time off for treatment.[52] He received a kidney transplant in 2004; however, this transplant failed in 2011. He was on the waiting list for a second kidney when he died suddenly of heart attack, aged 40, on 18 November 2015.[53]

See also

References

  1. 1 2 Dunphy, Lynne M; Winland-Brown, Jill; Porter, Brian; Thomas, Debera (19 February 2015). Primary Care. F.A. Davis. p. 634. ISBN 9780803644946. In classic forms of glomerulonephrosis, nephrotic syndrome develops, and various degrees of proteinuria may be present. In addition to hypertension, other characteristic findings include hypercholesterolemia with lipiduria and central edema from hypoalbuminemia due to albuminuria.
  2. http://wordnetweb.princeton.edu/perl/webwn?s=nephrotic%20syndrome
  3. Behrman, Richard E.; Robert M Kliegman; Hal B. Jenson (2008). Nelson Tratado de Pediatria (in Spanish). Elsevier, España. p. 1755. ISBN 8481747475.
  4. "Electronic Learning Module for Kidney and Urinary Tract Diseases". Archived from the original on 2008-12-20. Retrieved 2015-12-25.
  5. http://www.hawaii.edu/medicine/pediatrics/pedtext/s13c02.html
  6. Freedberg, Irwin M. et.al, ed. (2003). Fitzpatrick's dermatology in general medicine. (6th ed.). New York, NY [u.a.]: McGraw-Hill. p. 659. ISBN 0-07-138076-0.
  7. "Manifestaciones clínicas del síndrome nefrótico" (PDF). See table 4.2. Retrieved 12 Sep 2008.
  8. 1 2 García - Conde, J.; Merino Sánchez, J.; González Macías, J. (1995). "Fisiopatología glomerular". Patología General. Semiología Clínica y Fisiopatología. McGraw - Hill Interamericana. ISBN 8448600932.
  9. Parra Herrán, Carlos Eduardo; Castillo Londoño, Juan Sebastián; López Panqueva, Rocío del Pilar; Andrade Pérez, Rafael Enrique. "Síndrome nefrótico y proteinuria en rango no nefrótico". Retrieved 2008-09-14.
  10. "Valores normales de proteína en orina de 24 horas". Retrieved 24 August 2012.
  11. Cátia Fernandes-Cerqueira; Benedita Sampaio-Maia; Janete Quelhas-Santos; Mónica Moreira-Rodrigues; Liliana Simões-Silva; Ana M. Blazquez-Medela; C. Martinez-Salgado; Jose M. Lopez-Novoa; Manuel Pestana (2013). "Concerted Action of ANP and Dopamine D1-Receptor to Regulate Sodium Homeostasis in Nephrotic Syndrome". BioMed Research International. 2013 (397391). doi:10.1155/2013/397391. PMC 3727124Freely accessible. PMID 23956981.
  12. "La pérdida de lipoproteínas en la orina". Retrieved 2008-11-21.
  13. "Apuntes de fisiopatología de sistemas". Retrieved 8 Sep 2008.
  14. 1 2 3 Durán Álvarez, Sandalio. "Complicaciones agudas del síndrome nefrótico". Retrieved 11 Sep 2008.
  15. "Descripción histológica de las glomerulonefritis ideopáticas". Retrieved 8 Sep 2008.
  16. 1 2 "Patient information: The nephrotic syndrome (Beyond the Basics)". Retrieved 2013-06-28.
  17. James W Lohr, MD. "Rapidly progressive glomerulonephritis". Retrieved 2013-06-28.
  18. 1 2 3 "Frecuencia de las glomerulonefritis y causas de las glomerulonefritis secundarias". Retrieved 8 Sep 2008.
  19. "Fármacos que pueden producir síndrome nefrótico". Retrieved 8 Sep 2008.
  20. 1 2 Fogo AB, Bruijn JA. Cohen AH, Colvin RB, Jennette JC. Fundamentals of Renal Pathology. Springer. ISBN 978-0-387-31126-5.
  21. 1 2 "Nephrotic syndrome". Retrieved 2016-05-21.
  22. 1 2 "Nefrología y urología". Retrieved 12 Sep 2008.
  23. "El diagnóstico del síndrome nefrótico". Retrieved 12 Sep 2008.
  24. 1 2 Voguel S, Andrea; Azócar P, Marta; Nazal Ch, Vilma; Salas del C, Paulina. "Indicaciones de la biospsia renal en niños". Retrieved 2008-09-14.
  25. "Diagnóstico diferencial en el síndrome nefrótico". Retrieved 2008-09-14.
  26. Harold Friedman, H (2001). "General problems". Problem-oriented Medical Diagnosis (Seventh ed.). Lippincott Williams & Wilkins. pp. 3 and 4. ISBN 0-7817-2909-2.
  27. "El edema en la insuficiencia cardíaca". Retrieved 2008-09-14.
  28. 1 2 Goldman, Lee; Braunwald, Eugene (2000). "Edemas". Cardiología en atención primaria. Harcourt. pp. 114–117. ISBN 8481744328.
  29. Rivera, F; Egea, J.J; Jiménez del Cerro, L.A; Olivares,J. "La proteinuria en el mieloma múltiple". Retrieved 2008-09-14.
  30. Bustillo Solano, Emilio. "Relación de la proteinuria con el nivel de hemoglobina glicosilada en los diabéticos". Retrieved 2008-09-14.
  31. Zollo, Anthony J (2005). "Nefrología". Medicina interna. Secretos (Cuarta ed.). Elsevier España. p. 283. ISBN 8481748862.
  32. 1 2 "Balance de nitrógeno y equilibrio nitrogenado". Retrieved 8 Sep 2008. It occurs during renal pathologies, during fasting, in eating disorders or during heavy physical exercise.
  33. 1 2 Curtis, Michael J.; Page, Clive P.; Walker, Michael J.A; Hoffman, Brian B. (1998). "Fisiopatología y enfermedades renales". Farmacología integrada. Harcourt. ISBN 8481743402.
  34. Saz Peiro, Pablo. "El reposo prolongado" (PDF). Retrieved 8 Sep 2008.
  35. 1 2 3 "Dietoterapia del síndrome nefrótico". Retrieved 8 Sep 2008.
  36. "Lista de alimentos ricos en sodio". Retrieved 8 Sep 2008.
  37. "Fluidoterapia: tipos de expansores" (PDF). Retrieved 8 Sep 2008. Plasma expanders are natural or synthetic substances (dextran, albumin...), that are able to retain liquid in the vascular space.
  38. "Lista de alimentos ricos en proteínas". Retrieved 8 Sep 2008. Expressed as grams per 100 g of food.
  39. "Sustitución de los alimentos ricos en grasas de la dieta". Archived from the original on February 12, 2008. Retrieved 8 Sep 2008. Organizations in the US recommend that no more than 30% of total daily calorie intake is from fats.
  40. Martín Zurro, Armando (2005). "Hipolipemiante, diuréticos, estatina.". Compendio de atención primaria: Conceptos, organización y práctica clínica (Segunda ed.). Elsevier España. p. 794. ISBN 8481748161.
  41. Jiménez Alonso, Juan. "Profilaxis de los fenómenos tromboembólicos" (PDF). Retrieved 2008-09-14.
  42. Glassock RJ (August 2007). "Prophylactic anticoagulation in nephrotic syndrome: a clinical conundrum". J. Am. Soc. Nephrol. 18 (8): 2221–5. doi:10.1681/ASN.2006111300. PMID 17599972.
  43. "Rango Internacional Normalizado (INR)". Retrieved 2008-09-14.
  44. "Tratamiento de la hipercoagulabilidad". Retrieved 2008-09-14.
  45. "Tratamiento de la hipocalcemia". Retrieved 2008-09-14.
  46. Hodson E, Willis N, Craig J (2007). Hodson, Elisabeth M, ed. "Corticosteroid therapy for nephrotic syndrome in children". Cochrane database of systematic reviews (Online) (4): CD001533. doi:10.1002/14651858.CD001533.pub4. PMID 17943754.
  47. According to MedlinePlus, avascular necrosis is the death of the bone caused by insufficient blood supply to the bone.
  48. Cuzzoni, E; De Iudicibus, S; Stocco, G; Favretto, D (2016). "In vitro sensitivity to methyl-prednisolone is associated with clinical response in pediatric idiopathic nephrotic syndrome.". Clin Pharmacol Ther. 100: 268–74. doi:10.1002/cpt.372. PMID 27007551.
  49. 1 2 3 4 Borrego R., Jaime; Montero C.,, Orlando (2003). Nefrología: Fundamentos de medicina (Cuarta ed.). Corporación para investigaciones biológicas. p. 340. ISBN 9589400639.
  50. 1 2 Guerrero Fernández, J. "Pronóstico de la enfermedad". Retrieved 2016-05-21.
  51. "Síndrome nefrótico idiopático: diagnóstico histológico por biopsia renal percutanea". 1995. Retrieved 2016-05-21.
  52. "Jonah Lomu dies of heart attack, aged 40: follow latest as tributes paid to New Zealand rugby great". Telegraph.co.uk. Retrieved 2015-11-19.
  53. Davey, Melissa. "Jonah Lomu was on waiting list for kidney transplant when he died". The Guardian. Retrieved 2015-11-19.
This article is issued from Wikipedia - version of the 11/19/2016. The text is available under the Creative Commons Attribution/Share Alike but additional terms may apply for the media files.