Boxer's fracture
| Bar Room fracture | |
|---|---|
| scrapper's fracture, bar room fracture | |
|
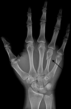
DP (PA) right hand x-ray showing fracture at the neck of fourth metacarpal bone | |
| Classification and external resources | |
| Specialty | emergency medicine |
| ICD-10 | S62.3 |
| eMedicine | aaem/53 |
Boxer's Fracture is a colloquial term for a fracture of one of the metacarpal bones of the hand. Classically, the fracture occurs transversely across the neck of the bone, after the patient strikes an object with a closed fist. Alternate terms include scrapper's fracture or bar room fracture.
As these are colloquial terms, texts and medical dictionaries do not universally agree on precise meanings. Various authorities state that a "Boxer's fracture" means a break in specifically the second metacarpal bone or third metacarpal bone,[1] with "Bar Room fracture" being specific to the fourth metacarpal bone or fifth metacarpal bone.[2] Though some writers assert that Boxer's fracture and Bar Room fracture are distinct terms representing injuries to different bones, this distinction seems to have been lost over time and most medical professionals now describe any metacarpal fracture as a "Boxer's Fracture" .
Signs and symptoms
The symptoms are pain and tenderness in the specific location of the hand, which corresponds to the metacarpal bone around the knuckle. When a fracture occurs, there may be a snapping or popping sensation. There will be swelling of the hand along with discoloration or bruising in the affected area. Abrasions or lacerations of the hand are also likely to occur. The respective finger may be misaligned, and movement of that finger may be limited and painful.
Causes
Metacarpal fractures are usually caused by the impact of a clenched fist with a hard, immovable object, such as a skull or a wall, using improper punching technique.[3] When a punch impacts with improper form, the force occurs at an angle towards the palm, creating a dorsal bend in the bone, ultimately causing the fracture when the bone is bent too far.
When a boxer punches with proper form, the knuckles of the second and third metacarpal align linearly with the articulating radius, followed linearly by the humerus. Due to the linear articulation of bones, the force is able to travel freely across these joints and bones and be dissipated without injury. Therefore, fractures of the second or third metacarpals are rare, with fractures of the 4th and 5th metacarpals comprising the vast majority of metacarpal fractures.[4]
Diagnosis
Diagnosis by a doctor’s examination is the most common, often confirmed by x-rays. X-ray is used to display the fracture and the angulations of the fracture. A CT scan may be done in very rare cases to provide a more detailed picture.
Prevention
Boxers and other combat athletes routinely use hand wraps and boxing gloves to help stabilize the hand, greatly reducing pain and risk of injury during impact. Proper punching form is the most important factor to prevent this type of fracture.
Treatment

Once injured, the subject will feel both the swelling and associated pain in the hand. Ice is applied to relieve pain and swelling. Any open wounds are cleansed to avoid infection. The injured hand must remain immobilized, to avoid moving the broken end of the bone, which can cause damage to the muscles, blood vessels, tendons, ligaments and nerves.
Conservative treatment is to apply a splint to immobilize the affected part of the hand and allow healing. If the broken parts of the bone are misaligned by more than 70 degrees, or if the physician is unable to reduce (realign) the fragments by manipulation, surgery may be required to place pins or plates in the bone to hold the pieces in place.[5]
Prognosis for these fractures is generally good, with total healing time not exceeding 12 weeks. The first two weeks will show significantly reduced overall swelling, with improvement in clenching ability showing up first. Ability to extend the fingers in all directions appears to improve more slowly. Hard casts are rarely required, and soft casts or splints can be removed for brief periods of time to allow for cleaning and drying the skin underneath the splint.[6] Pain from this injury is generally very mild and rarely requires medications beyond over the counter drugs such as ibuprofen or acetaminophen. Muscle atrophy of 5 to 15 percent may be expected, with a rehabilitation period of approximately 4 months given adequate therapy. In the mildest of cases, full rehabilitation status can be achieved within 3 to 4 months.
Epidemiology
Hand and wrist injuries are reported to account for fifteen to twenty percent of emergency room injuries, and metacarpal fractures represent a significant number of those injuries. Hand injuries of this sort are most prevalent among fifteen- to thirty-five-year-old males, and the fifth metacarpal is the one most commonly affected.[7]
Males are nearly fifty percent more likely to sustain fracture from a punch mechanism than females. Male punch injuries are correlated predominantly with social deprivation, while female punch injuries show correlation with psychiatric disorders.[8]
Approximately 3.7 male hand injuries, per 1000, per year, and 1.3 female hand injuries, per 1000, per year, have been reported. Common mechanisms of injury are gender specific. Although the fiscal cost is not available, it can be asserted that the cost is reasonably significant per individual, depending on the cost of emergency care, immobilization, surgery, follow up doctors’ visits, etc. in addition to the fiscal impact from loss of and/or limited work abilities.
References
- ↑ "Radiopaedia" ["http://radiopaedia.org/articles/boxer-fracture-1" "http://radiopaedia.org/articles/boxer-fracture-1"] Check
|url=value (help). Retrieved 24 June 2015. Missing or empty|title=(help) - ↑ Terry R. Yochum; Lindsay J. Rowe (2004). Essentials of Skeletal Radiology (3rd ed.). Baltimore, MD: Lippincott Williams & Wilkins. ISBN 0781739462.
- ↑ Altizer, L (Jul–Aug 2006). "Boxer's fracture.". Orthopaedic nursing / National Association of Orthopaedic Nurses. 25 (4): 271–3; quiz 274–5. doi:10.1097/00006416-200607000-00010. PMID 16900073.
- ↑ Soong, M; Got, C; Katarincic, J (Aug 2010). "Ring and little finger metacarpal fractures: mechanisms, locations, and radiographic parameters.". The Journal of hand surgery. 35 (8): 1256–9. doi:10.1016/j.jhsa.2010.05.013. PMID 20684925.
- ↑ Page 42 in: Weinzweig, Jeffrey (1999). Hand & Wrist Surgery Secrets (The Secrets Series). Philadelphia: Hanley & Belfus. ISBN 1-56053-364-1.
- ↑ Connolly, J.(M.D. F.A.C.S). (1981). The Management of Fractures and Dislocations. Philadelphia, PA: W.B. Saunders Company.
- ↑ van Onselen, EB; Karim, RB; Hage, JJ; Ritt, MJ (Oct 2003). "Prevalence and distribution of hand fractures.". Journal of hand surgery (Edinburgh, Scotland). 28 (5): 491–5. doi:10.1016/S0266-7681(03)00103-7. PMID 12954264.
- ↑ Jeanmonod, RK; Jeanmonod, D; Damewood, S; Perry, C; Powers, M; Lazansky, V (Feb 2011). "Punch injuries: insights into intentional closed fist injuries.". The western journal of emergency medicine. 12 (1): 6–10. PMC 3088367
. PMID 21691465.
- Bibliography
- Anakwe, RE; Aitken, SA; Cowie, JG; Middleton, SD; Court-Brown, CM (Jan 2011). "The epidemiology of fractures of the hand and the influence of social deprivation.". The Journal of hand surgery, European volume. 36 (1): 62–5. doi:10.1177/1753193410381823. PMID 20709710.
- Bragg, S. 2005. The Boxer's Fracture. Journal of Emergency Nursing, 31(473).
- Greer, SE; Williams, JM (Jul 1999). "Boxer's fracture: an indicator of intentional and recurrent injury.". The American journal of emergency medicine. 17 (4): 357–60. doi:10.1016/S0735-6757(99)90086-4. PMID 10452433.
- Bracker, M. D., Rice, E. L., Yassini, P. 2001. The 5-minute sports medicine consult, pp. 110. Lippincott, Williams & Wilkins, Philadelphia, PA.
- Altizer, L. 2006. Boxer's Fracture. Orthopedic nursing journal, 25(4), pp. 271–273.
- Terry R. Yochum; Lindsay J. Rowe (2004). Essentials of Skeletal Radiology (3rd ed.). Baltimore, MD: Lippincott Williams & Wilkins. ISBN 0781739462.
External links
| Wikimedia Commons has media related to X-rays of bar room fractures. |
